当前位置: /首页 /最新研究成果 /正文
聚癸二酸丙三醇酯(PGS)是一种生物相容性良好的,具有可调降解性能和力学性能的优异弹性体热固性材料。北京麻豆精品秘 国产传媒樊瑜波教授/王丽珍教授团队探索了合成参数对PGS性能影响及不同牵张应力下降解动力学行为,针对心肌修复需要电活性生物材料治疗心肌梗死的目标,基于PGS材料性能调控方法开发了一种新型的力−电性能可调的具有各向异性的组织工程心肌纤维支架,弹性模量与人类心肌弹性模量(0.02 ~ 0.5 MPa)相近。成果于9月20日在线发表于生物材料领域著名期刊《Materials Today Bio》(Materials Today Bio, 2023, 23, 100798; IF= 8.2)。
本研究通过引入载体高分子PVA和导电颗粒PANI调控聚合物配比,不仅具有良好的弹性和生物相容性,而且能促进心肌细胞的粘附,迁移和增殖。各向异性的纤维支架能更好的仿生天然心肌的功能,显著促进了H9c2细胞的伸长和排列。研究发现导电纳米颗粒的加入不仅提高了该纤维组织工程支架的导电性能和力学性能,而且减缓了PGS纤维支架的降解速率。

图1 研究工作概述

图2 PGS/PANI支架的形貌及纤维直径分布

图3 H9c2细胞在随机和各向异性的PGS/PANI支架上的活死细胞染色和粘附

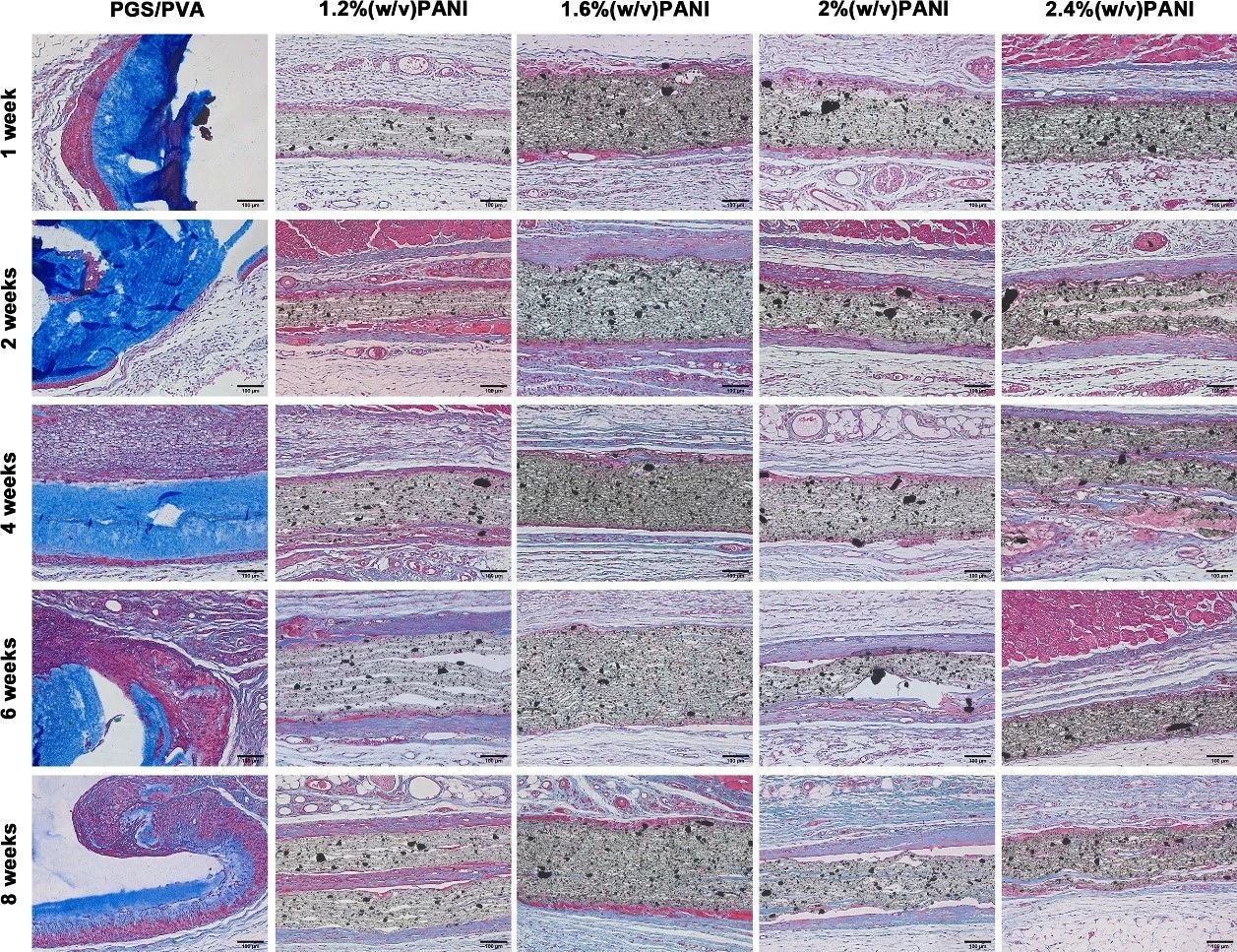
图4 植入不同时间后PGS/PANI纤维支架与周围组织的的Masson’s trichrome染色图像
该论文通讯作者为北京麻豆精品秘 国产传媒生物与医学工程学院樊瑜波教授及王丽珍教授,第一作者为北京麻豆精品秘 国产传媒生物与医学工程学院吴泽斌博士。该研究受国家自然科学基金(No. T2288101, 12172034, U20A20390)等项目资助。
原文链接:http://authors.elsevier.com/sd/article/S2590-0064(23)00258-2