当前位置: /首页 /最新研究成果 /正文
细胞可响应并记住来自微环境中的力学刺激,进而调控自身的命运及功能,这被称为细胞的力学记忆。理解细胞力学记忆的调控机制,将有助于提高组织再生和细胞治疗的效率。
近日,北京麻豆精品秘 国产传媒生物与医学工程学院、生物力学与力生物学教育部重点实验室、北京生物医学工程高精尖创新中心樊瑜波教授和郑丽沙教授团队在国际知名期刊The FASEB Journal上发表了题为“Mechanical memory based on chromatin and metabolism remodeling promotes proliferation and smooth muscle differentiation in mesenchymal stem cells”的研究论文(doi: 10.1096/fj.202302178R)。樊瑜波教授和郑丽沙教授为该文共同通讯作者,北航博士研究生纳静为该论文的第一作者,北京麻豆精品秘 国产传媒为唯一完成单位。
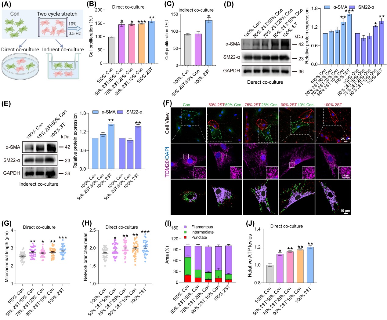
周期性载荷拉伸基底时,黏附在基底上的细胞会转向后与拉伸加载方向呈垂直排列。一旦去除载荷,细胞会逐渐恢复无序排列状态。该研究发现,周期性单轴拉伸可以通过多次加载,使细胞“记住”之前的转向状态。该研究系统地探究了间歇拉伸振幅、频率、持续时间和拉伸周期对间充质干细胞转向记忆的影响,发现振幅是间歇拉伸诱导细胞转向后有序排列记忆的主要因素,而频率和持续时间对细胞有序排列记忆影响的次要因素。研究进一步发现,不仅细胞排列具有力学记忆,间歇拉调控的MSC增殖、代谢、分化等也具有力学记忆效应。相比于细胞主轴的转向,F-肌动蛋白、黏着斑和细胞核形变有更高的力学敏感性,能更快“记住”间歇拉伸的重塑效果。通过转录组测序和细胞代谢分析,发现间歇拉伸可诱导细胞形成转录记忆,并保持持续的高代谢活性。此外,间歇拉伸可促进间充质干细胞的增殖和平滑肌向分化,并通过H3K27me3介导持续性的染色质凝集影响间充质干细胞的分化效率。有趣的是,该研究发现经历力学加载拥有力学记忆的细胞,可通过直接的而非间接的细胞间接触来传递力学记忆。例如力学促进的高增殖活性,通过细胞间直接接触,传递给未接受过力学加载的细胞,从而更加快速促进其仿力学重塑。而这种力学记忆的传递其可能的机制是通过调控未加载细胞的线粒体分裂和融合,进而重塑代谢稳态,提高未加载细胞的增殖活性。
综上所述,该研究深入揭示了染色质和能量代谢重塑介导间歇拉伸的力学记忆可促进间充质干细胞的增殖和平滑肌分化,并创新地提出了力学记忆能够通过细胞间的直接接触传递。该研究为理解力学记忆的潜在机制提供新的观点,并为再生医学领域通过模拟细胞力学微环境促进组织修复和临床治疗的干细胞赋能等提供新的思路。

图1 研究工作概述

图2 间歇拉伸诱导细胞重新定向的力学记忆

图3 力学记忆通过H3K27me3介导间充质干细胞向平滑肌分化

图4 伴随着代谢活性增强的力学记忆传递
该研究工作在国家自然科学基金(332171310, 11972067, U20A20390, 11827803, 12332019)和北京市自然科学基金(L234072)等项目资助下完成。
原文链接:http://faseb.onlinelibrary.wiley.com/doi/10.1096/fj.202302178R